لینگوال ریتینر چیست و چه کاربردی دارد؟

لینگوال ریتینر چیست و چه کاربردی دارد؟
درمان ارتودنسی فرایندی زمانبر است که با هدف اصلاح ناهنجاریهای دندانی و فکی انجام میشود، اما موفقیت آن تنها به مرتب شدن دندانها محدود نمیشود؛ بلکه ثبات نتایج پس از پایان درمان، بخش مهمی از این مسیر محسوب میشود. در این مرحله، استفاده از نگهدارندهها یا همان ریتینرها ضروری است. یکی از انواع مؤثر و پرکاربرد آنها، لینگوال ریتینر است؛ سیمی ظریف که بهصورت ثابت پشت دندانهای جلویی چسبانده میشود تا از بازگشت دندانها به حالت اولیه جلوگیری کند.
با توجه به نقش حیاتی لینگوال ریتینر در تثبیت موقعیت جدید دندانها و ویژگیهای منحصربهفردی که دارد، شناخت دقیق آن برای بیماران و حتی دانشجویان دندانپزشکی بسیار مهم است. در ادامه این مقاله، به بررسی جامع این ابزار مهم، مزایا و معایب آن، نحوه مراقبت و تفاوتش با سایر انواع ریتینر خواهیم پرداخت.
لینگوال ریتینر چیست؟
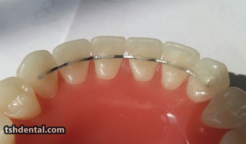
لینگوال ریتینر (Lingual Retainer) نوعی نگهدارنده ثابت دندانی است که پس از پایان درمان ارتودنسی برای جلوگیری از بازگشت دندانها به حالت اولیه استفاده میشود. واژه “لینگوال” به سطح داخلی دندانها اشاره دارد؛ یعنی سمتی که به سمت زبان قرار میگیرد. در نتیجه، این نوع ریتینر در پشت دندانهای جلویی، معمولاً در فک پایین (و گاهی در فک بالا)، بهصورت نامرئی نصب میشود.
این بزار از یک سیم نازک و انعطافپذیر ساخته میشود که معمولاً از جنس استیل ضدزنگ یا آلیاژهای مقاوم دیگر است. این سیم به کمک کامپوزیت دندانپزشکی، به سطح پشتی دندانها چسبانده میشود و بسته به نظر ارتودنتیست، میتواند از دندان نیش راست تا نیش چپ امتداد یابد.
برخلاف ریتینرهای متحرک که بیمار باید خودشان آنها را طبق دستور استفاده کنند، لینگوال ریتینر ارتودنسی همیشه در دهان باقی میماند و نیازی به یادآوری یا همکاری خاص بیمار ندارد. به همین دلیل، گزینهای ایدهآل برای افرادی است که احتمال بازگشت درمان در آنها بالاست یا تمایل دارند از نگهدارندهای استفاده کنند که دیده نشود.
نحوه نصب لینگوال ریتینر
نصب لینگوال ریتینر معمولاً پس از پایان درمان ارتودنسی و برداشتن براکتها یا الاینرها انجام میشود. این فرایند نسبتاً ساده است، اما نیاز به دقت بالا از سوی ارتودنتیست دارد تا هم عملکرد نگهدارنده بهدرستی تضمین شود و هم بیمار در استفاده روزمره با مشکلی مواجه نشود.
در ابتدا، دندانپزشک ناحیه پشت دندانهای قدامی (معمولاً از نیش راست تا نیش چپ) را بهخوبی تمیز و خشک میکند. سپس یک سیم نازک از جنس فلز مقاوم، مانند استیل ضدزنگ یا آلیاژهای حافظهدار، با فرم خاصی آماده میشود تا با انحنای پشت دندانها هماهنگ باشد. این سیم بهصورت مستقیم به دندانها چسبانده میشود و با مواد کامپوزیتی مخصوص، در جای خود محکم میگردد.
فرایند نصب معمولاً بین ۲۰ تا ۴۰ دقیقه زمان میبرد و بدون درد است. گاهی برای راحتی بیشتر و تطابق بهتر، قبل از چسباندن سیم نهایی، یک قالبگیری یا اسکن دیجیتال انجام میشود. این کار به ارتودنتیست کمک میکند تا ریتینر دقیقتر طراحی شود و میزان تماس آن با زبان به حداقل برسد.
پس از نصب، دندانپزشک وضعیت قرارگیری سیم را بررسی میکند تا از عدم تداخل آن با گاز گرفتن، تلفظ کلمات یا تحریک زبان مطمئن شود. سپس توصیههای لازم برای مراقبت و رعایت بهداشت دهان و دندان به بیمار داده میشود.
انواع لینگوال ریتینر ارتودنسی
ریتینرها، با وجود ظاهر نسبتاً سادهشان، در طراحی و نوع مواد بهکاررفته تفاوتهایی دارند که بر دوام، راحتی و تطابق آنها با شرایط بیمار تأثیر میگذارد. در حالت کلی، انواع لینگوال ریتینر ارتودنسی را میتوان به دو دسته اصلی تقسیم کرد:

1. لینگوال ریتینر سفارشی (CAD/CAM یا لیزری)
این نوع ریتینر با استفاده از فناوریهای نوین مانند اسکن دیجیتال و طراحی رایانهای (CAD/CAM) ساخته میشود. در این روش، ابتدا از دندانهای بیمار قالبگیری دیجیتال یا دستی انجام میگیرد. سپس یک سیم یا ورق فلزی نازک و از پیش شکل گرفته با دستگاههای دقیق برش یا خم میشود تا کاملاً با انحنای پشت دندانها هماهنگ باشد.
ویژگیها:
- دقت و تطابق بالا
- راحتی بیشتر برای زبان
- کاهش احتمال کنده شدن یا تحریک لثه
2. لینگوال ریتینر دستی (Hand-bent)
در این نوع، سیم بهصورت دستی توسط ارتودنتیست فرم داده میشود. این روش همچنان پرکاربرد است، بهویژه در کلینیکهایی که به تجهیزات دیجیتال پیشرفته دسترسی ندارند. سیم معمولاً از جنس استیل ضدزنگ یا آلیاژ نیکل-تیتانیوم انتخاب میشود و مستقیماً پشت دندانها چسبانده میشود.
ویژگیها:
- مقرونبهصرفهتر
- امکان تنظیم سادهتر در مطب
- وابسته به مهارت متخصص
3. تفاوت در پوشش دهی دندانها
از نظر وسعت نصب نیز، لینگوال ریتینرها ممکن است فقط به دندانهای نیش تا نیش فک پایین محدود شوند، یا در موارد خاص، به پشت دندانهای فک بالا نیز گسترش یابند. انتخاب این مورد بسته به میزان ناپایداری دندانها و نظر متخصص متفاوت است.
مراقبت و نگهداری از لینگوال ریتینر
مراقبت مناسب از لینگوال ریتینر ارتودنسی برای حفظ عملکرد صحیح آن و جلوگیری از مشکلاتی مانند تجمع پلاک، جرم یا حتی آسیب به سیم ضروری است. در اینجا نکات مهمی را برای مراقبت از این نگهدارنده به شما ارائه میدهیم:

1. رعایت بهداشت دهان و دندان
بهخاطر اینکه لینگوال ریتینر در پشت دندانها قرار دارد، دسترسی به آن برای مسواکزدن و نخکشیدن ممکن است کمی دشوارتر باشد. اما رعایت بهداشت دهان بسیار مهم است تا از بروز مشکلاتی مانند التهاب لثه یا پوسیدگی دندان جلوگیری شود.
مسواکزدن مرتب: بعد از هر وعده غذایی، مسواکزدن دندانها ضروری است. استفاده از مسواک نرم و خمیردندان غیرخشن برای محافظت از ریتینر و دندانها توصیه میشود.
استفاده از نخ دندان مخصوص: نخ دندان معمولی نمیتواند بهراحتی از بین سیم ریتینر عبور کند. استفاده از نخ دندان مخصوص مانند «سوپرفلاس» (Superfloss) میتواند به تمیز کردن ناحیه بین سیم و دندانها کمک کند.
2. استفاده از دهانشویه ضدباکتری
استفاده از دهانشویههای ضدباکتری میتواند به تمیز نگهداشتن دهان و جلوگیری از بروز بیماریهای لثه و دندان کمک کند. این دهانشویهها بهویژه برای کسانی که لینگوال ریتینر دارند، مفید است.
3. پرهیز از مصرف مواد غذایی سخت و چسبناک
مواد غذایی سفت یا چسبناک ممکن است به سیم ریتینر آسیب بزنند یا آن را از جای خود در بیاورند. برای جلوگیری از این مشکل، بهتر است از خوردن مواد غذایی مانند آجیلهای سخت، تافی یا آبنباتهای چسبناک پرهیز کنید.
4. چکاپهای منظم
مراجعات دورهای به ارتودنتیست برای بررسی وضعیت ریتینر ضروری است. ارتودنتیست میتواند سیمها را بررسی کرده و در صورت لزوم تنظیماتی انجام دهد. همچنین، در صورتی که سیم از دندانها جدا شود یا آسیب ببیند، باید فوراً به متخصص مراجعه کرد.
خرید و قیمت لینگوال ریتینر ارتودنسی
هنگامی که درمان ارتودنسی شما به پایان میرسد، یکی از مهمترین تصمیمات برای حفظ نتایج بهدستآمده، خرید لینگوال ریتینر است. این ابزار نه تنها دندانها را در موقعیت جدید خود ثابت نگه میدارد، بلکه به دلیل قرارگیری در پشت دندانها، ظاهر نامرئیتری نسبت به دیگر انواع ریتینرها دارد.
قیمت لینگوال ریتینر ممکن است بسته به عواملی مانند نوع ریتینر، منطقه جغرافیایی و کلینیک متفاوت باشد. بهطور معمول، این ابزارها بهدلیل فرآیند پیچیده طراحی و نصب، هزینه بیشتری نسبت به ریتینرهای متحرک دارند. همچنین، هزینههای نگهداری و مراقبتهای دورهای مانند چکاپهای منظم ممکن است به این هزینهها افزوده شوند.
انتخاب یک تولید کننده لینگوال ریتینر ارتودنسی معتبر نیز در تعیین کیفیت و دوام ریتینر تاثیر زیادی دارد. تولیدکنندگان برتر، از مواد با کیفیت بالا و فناوریهای پیشرفته مانند طراحیهای CAD/CAM استفاده میکنند که باعث میشود ریتینر دقیقتر و راحتتر به دندانها بچسبد و دوام بیشتری داشته باشد. به همین دلیل، توصیه میشود که پیش از خرید، از نظر تخصصی و کیفیت محصولات اطمینان حاصل کنید.
نتیجهگیری
در نهایت، استفاده از لینگوال ریتینر ارتودنسی بهعنوان یک راهکار مؤثر برای حفظ نتایج درمان ارتودنسی، اهمیت ویژهای دارد. این نگهدارندهها، بهویژه برای افرادی که به دنبال راهحلی نامرئی و مؤثر هستند، انتخابی ایدهآل به شمار میآیند. مراقبت دقیق از این ابزار و مشورت با ارتودنتیست جهت خرید صحیح و انتخاب تولیدکننده معتبر، از جمله مراحل حیاتی در حفظ و تثبیت نتایج درمان است.
شرکت توسعه صنعت هلال بهعنوان نخستین تولیدکننده ابزار ارتودنسی و تجهیزات دندانپزشکی در ایران شناخته میشود. این شرکت با بهرهگیری از تکنولوژیهای پیشرفته و رعایت استانداردهای بینالمللی، محصولاتی با کیفیت بالا برای دندانپزشکان تولید کرده است و سهم بزرگی در تأمین نیازهای داخلی در این حوزه دارد.
اشتراک :

توسعه صنعت هلال
شرکت دانش بنیان توسعه صنعت هلال با تکیه بر اراده قوی توانسته است بسیار از دستگاههای ارتودنسی شامل انواع براکتها ، باکال تیوب و بند ، الاستیک ها و موارد دیگر را در داخل ایران تولید نماید. رسیدن به توان حاصل تلاش مدیریت خلاق و کارشناسان پرتلاش مجموعه می باشد.


